Kompositrestauration mit individueller Charakterisierung

Die Restauration mit Komposit stellt eine minimalinvasive Maßnahme dar. Im Vergleich zu einer Versorgung mit Veneers oder Kronen muss der Zahn nur geringfügig beschliffen werden. Durch die individuelle Charakterisierung wird die Natürlichkeit der Restauration optimiert und ein harmonisches Erscheinungsbild geschaffen.


Natürliche Zähne sind nicht einfarbig, sondern weisen verschiedene Farb- und Lichtzonen auf. Für eine ästhetisch anspruchsvolle Restauration direkt im Mund stehen spezielle Schichttechniken mit hochwertigen Kompositmassen zur Verfügung, die unterschiedliche Farbnuancen und Lichteigenschaften aufweisen. Mithilfe von Kompositmalfarben können zudem individuelle Charakterisierungen, wie z. B. kreidig-weißliche Veränderungen, vorgenommen werden.

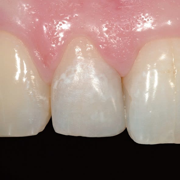
  • Ausgangssituation mit Kompositfüllung: ältere und verfärbte, die Ästhetik beeinträchtigende Kompositfüllung, am rechten seitlichen Oberkieferschneidezahn
  • Konditionieren: Anlegen eines Kofferdams, der vor Feuchtigkeit schützen soll. Nach Entfernung der alten Füllung und Säuberung der Kavität wird der Zahn mit Phosphorsäure vorbehandelt, um die Verbindung mit dem Komposit zu ermöglichen. Für den guten Halt des Kompositaufbaus wird anschließend ein Adhäsivsystem aufgetragen.
  • Schichtweiser Aufbau: Mit verschiedenen Kompositmassen wird der Kern des Zahnes mithilfe einer Formschablone schichtweise anatomisch korrekt aufgebaut. Jede Schicht wird einzeln lichtgehärtet.
  • Individuelle Charakterisierung: Mit weißer Kompositmalfarbe werden die weißlich-kreidigen Muster der benachbarten natürlichen Zähne nachgeahmt. Ein abschließender Überzug mit transluzentem Schmelzkomposit vervollständigt die Zahnkorrektur und schützt die individuelle Charakterisierung vor Abrieb.
  • Ausarbeiten: Zum Schluss wird die Restauration mit einem feinen Diamantschleifer ausgearbeitet und mit verschiedenen Gummipolierern poliert.
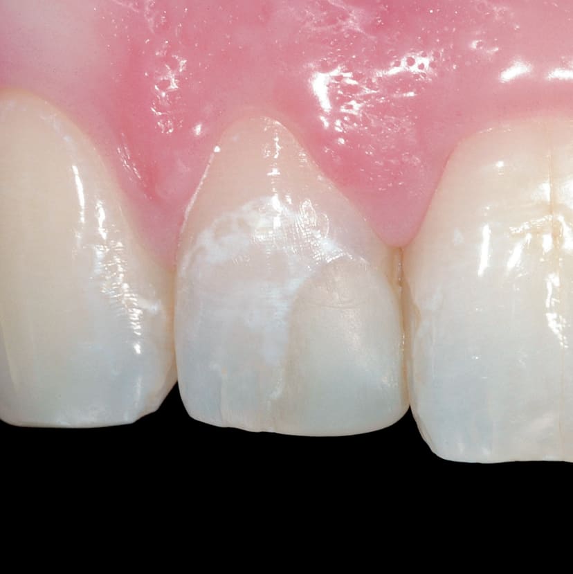
  • Endsituation: Die fertige Restauration fügt sich harmonisch in die umgebenden Zahnhartsubstanzen ein. Durch die individuelle Charakterisierung wird die Natürlichkeit optimiert.

Entscheidungskriterien

  • Verbesserung der Ästhetik
  • Kostengünstiger im Vergleich zu Veneers und Kronen
  • Vergleichsweise kurze Behandlungsdauer, oft in nur einer Sitzung
  • Substanzschonende, minimalinvasive Maßnahme
  • Geringerer Zahnhartsubstanzverlust als beim Beschleifen für eine Krone oder ein Veneer
  • Langjährige klinische Erfahrungen liegen vor
  • Technikintensive Behandlungsmethode
  • Schwierige Farbanpassung
  • Farbstabilität und Verschleißbeständigkeit entsprechen nicht denen von Keramikrestaurationen

Sie sind bereits angemeldet?

Dann loggen Sie sich hier bitte ein:

Neu hier?

Wählen Sie bitte ihr bevorzugtes Angebot aus und testen Sie es 30 Tage in aller Ruhe.
Zur Registration