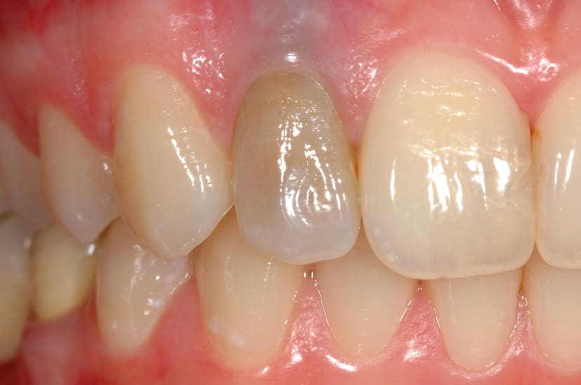
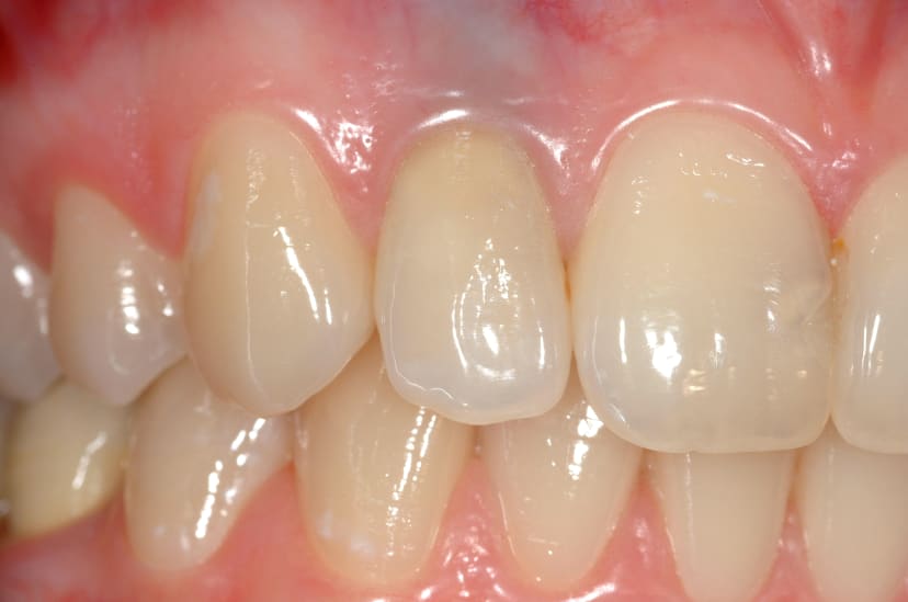
Bleichen devitaler Zähne

  • Vorher: Nach einer Wurzelbehandlung kann es passieren, dass sich der Zahn dunkel verfärbt.
  • Nachher: Nach dem Bleichen ist der Zahn aufgehellt und die Ästhetik wiederhergestellt.

Entscheidungskriterien

In diesen Fällen ist ein Bleichen der Zähne erfolgsversprechend:

  • Vorliegen einer dichten und intakten Wurzelfüllung
  • Ausreichende Stabilität der Zahnkrone

Sie sind bereits angemeldet?

Dann loggen Sie sich hier bitte ein:

Neu hier?

Wählen Sie bitte ihr bevorzugtes Angebot aus und testen Sie es 30 Tage in aller Ruhe.
Zur Registration