Home-Bleaching-Technik

Störende Zahnverfärbungen sind keine Seltenheit. Sie können durch den häufigen Genuss von farbintensiven Nahrungsmitteln wie Kaffee und Tee oder durch Rauchen entstehen. Auch mit zunehmendem Alter werden natürliche Zähne manchmal dunkler.


Lagern sich die Verfärbungen tief unter den Zahnoberflächen ein, lassen sie sich oft nicht mehr durch Zähneputzen oder eine „Professionelle Zahnreinigung“ entfernen.


Mit einem sogenannten Zahn-Bleaching können die störenden Verfärbungen aufgehellt werden. Dies ist auch bei Zähnen möglich, die insgesamt als zu dunkel empfunden werden.

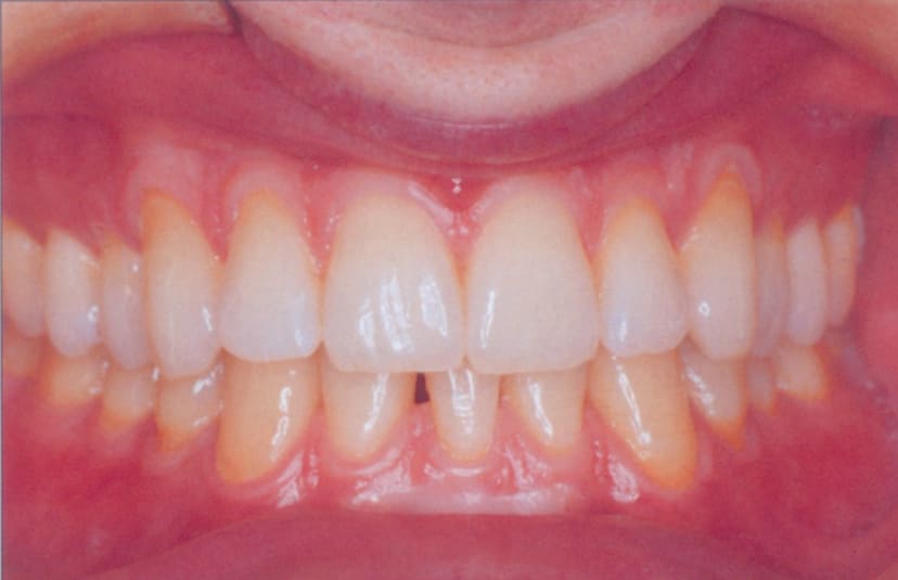
  • Vorher: Verfärbungen der Zähne oder zu dunkel empfundene Zähne können aufgehellt werden.
  • Nachher: Die Zähne können um im Schnitt ein bis zwei Nuancen aufgehellt werden.

Entscheidungskriterien

In diesen Fällen ist das Bleichen erfolgversprechend:

Sie sind bereits angemeldet?

Dann loggen Sie sich hier bitte ein:

Neu hier?

Wählen Sie bitte ihr bevorzugtes Angebot aus und testen Sie es 30 Tage in aller Ruhe.
Zur Registration