Implantate mit Metallkeramikbrücke

Implantate werden eingesetzt, wenn die Nachbarzähne geschont und einem Kieferknochenabbau vorgebeugt werden sollen. Je nach Anzahl der fehlenden Zähne kann auf eine Metallbasis am Gaumen oder im Mundboden verzichtet werden.


Für den Einsatz von Implantaten müssen die Nachbarzähne nicht wie bei Brückenversorgungen beschliffen werden. Zudem erfährt der zahnlose Kieferabschnitt keinen Knochenabbau, was sowohl für die Ästhetik als auch für den Zahnersatz im Alter eine große Rolle spielt. Daher sind Implantate auf lange Sicht die beste Versorgungsmöglichkeit.

  • Ausgangssituation: Nach der Einheilphase der Implantate werden die Aufbaupfosten eingeschraubt.
  • Herstellung: Im zahntechnischen Labor wird nach Abformung und Modellerstellung der Zahnersatz hergestellt.
  • Keramik: Auf dem Metallgerüst wird in mehreren Schichten die Keramik aufgebrannt.
  • Zementierung: Der Zahnersatz wird auf die Implantataufbauten zementiert. Daneben existieren auch Systeme, bei denen der Zahnersatz auf die Aufbauten geschraubt wird.
  • Aufsicht: Implantate kommen dem natürlichen Zahn am nächsten. Daher ist die Eingewöhnung besonders leicht und für den Laien ist der Zahnersatz in der Aufsicht nicht erkennbar.
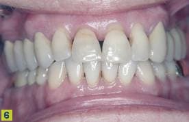
  • Endsituation: Auch in der Frontalansicht fügt sich der Zahnersatz sehr harmonisch in den Zahnbogen ein.

Entscheidungskriterien

  • gute Ästhetik
  • hohe Biokompatibilität
  • stabile Verankerung und hohe Kaukraft
  • Nachbarzähne werden geschont.
  • kein Knochenabbau des zahnlosen Kieferabschnitts
  • kommt den eigenen Zähnen am nächsten
  • Implantate können einen wichtigen Halt bei später notwendig werdendem Zahnersatz bieten.
  • höherer Aufwand in Praxis und Labor
  • Operativer Eingriff ist nötig.
  • Ausreichendes Knochenangebot muss vorhanden sein.

Sie sind bereits angemeldet?

Dann loggen Sie sich hier bitte ein:

Neu hier?

Wählen Sie bitte ihr bevorzugtes Angebot aus und testen Sie es 30 Tage in aller Ruhe.
Zur Registration