Rot-Weiß-Methode

Die richtige Zahnputztechnik bei freiliegenden Zahnhälsen

Diese Putztechnik eignet sich besonders für motorisch ungeübte Patienten mit freiliegenden Zahnhälsen. Sie ist leicht zu erlernen und dient häufig als Einstieg in die etwas anspruchsvollere, aber effektivere Stillman-Zahnputztechnik.

  • Gebiss bei gute Mundhygiene
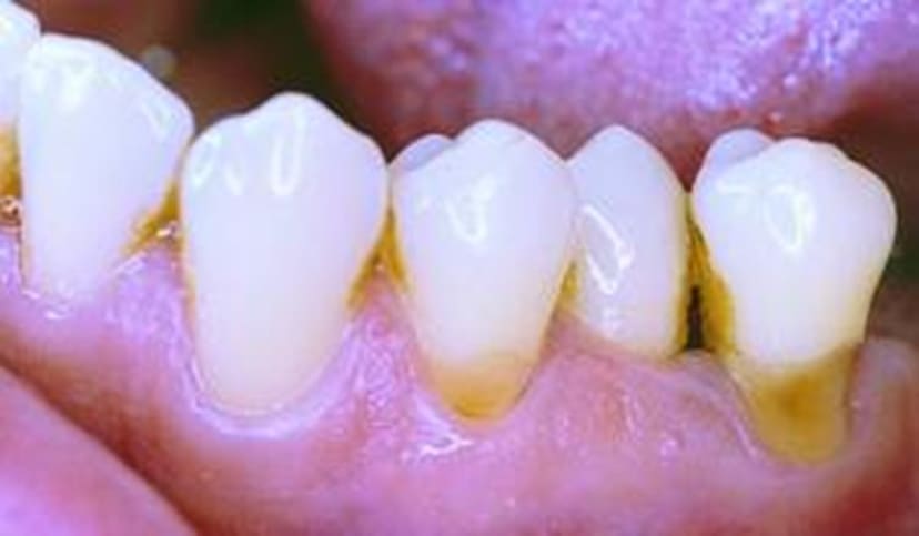
  • Gebiss bei falscher Putztechnik

Die Umstellung auf eine neue Putztechnik fällt manchen Patienten schwer, weshalb sie häufig in ihre alten Putzgewohnheiten zurückfallen. Die richtige Reinigungsmethode muss Schritt für Schritt geübt werden, um langfristige Putzdefekte und oft auch Zahnhypersensibilitäten zu vermeiden.

Sie sind bereits angemeldet?

Dann loggen Sie sich hier bitte ein:

Neu hier?

Wählen Sie bitte ihr bevorzugtes Angebot aus und testen Sie es 30 Tage in aller Ruhe.
Zur Registration