Stillman-Technik

Die richtige Zahnputztechnik bei freiliegenden Zahnhälsen

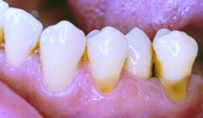
Diese Putztechnik eignet sich besonders für Patienten mit freiliegenden Zahnhälsen. In Kombination mit einer weichen bis mittelharten, multitufted Zahnbürste können die Zahnflächen schonend gereinigt und das Zahnfleisch intensiv massiert werden, ohne dabei Dentin abzutragen.

  • Beispiel für eine gute Mundhygiene
  • freiliegende Zahnhälse

Entscheidungskriterien

Sie sind bereits angemeldet?

Dann loggen Sie sich hier bitte ein:

Neu hier?

Wählen Sie bitte ihr bevorzugtes Angebot aus und testen Sie es 30 Tage in aller Ruhe.
Zur Registration