Implantatgetragene Brücke im Frontzahnbereich

Implantate werden eingesetzt, wenn die Nachbarzähne nahezu füllungs- und kariesfrei sind.

Die Voraussetzung für eine Implantation, ist ein ausreichendes Knochenangebot.

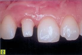
  • Ausgangssituation: Nach der Implantation bedarf es einer mehrwöchigen Ausheilungsphase, bevor die endgültige Restauration hergestellt werden kann. In dieser Zeit wird ein Provisorium getragen.
  • Abutment: In das Implantat wird ein sogenanntes Abutment geschraubt. Dieses Abutment kann aus Keramik oder Metall bestehen. Es ähnelt einem präparierten Zahnstumpf, auf dem im Anschluss die Krone befestigt wird.
  • Endsituation: Die eingesetzte Krone ist nicht vom natürlichen Zahn zu unterscheiden.

Entscheidungskriterien

  • ausgezeichnete Ästhetik
  • hohe Biokompatibilität
  • Nachbarzähne werden geschont.
  • kein Knochenabbau des zahnlosen Kieferabschnitts
  • höherer Preis durch höheren Aufwand in Praxis und Labor
  • Operativer Eingriff ist nötig.

Sie sind bereits angemeldet?

Dann loggen Sie sich hier bitte ein:

Neu hier?

Wählen Sie bitte ihr bevorzugtes Angebot aus und testen Sie es 30 Tage in aller Ruhe.
Zur Registration