Keramikkronen mit Geschiebe im Seitenzahnbereich

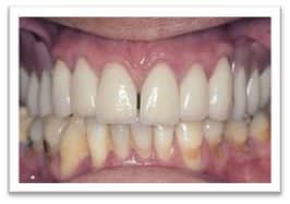
Diese Versorgungsart eignet sich besonders, wenn neben dem Ersatz von Seitenzähnen auch Frontzähne überkront werden müssen. Die Kronen werden wie „normale“ Kronen keramisch verblendet und bieten daher eine sehr gute Ästhetik.


  • Ausgangssituation: Zunächst werden die Frontzahnkronen angefertigt. An diesen sind die Geschiebe-Primärteile befestigt.
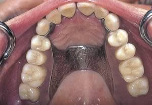
  • Geschiebe-Sekundärteile: Nach erneuter Abformung wird im Zahntechnischen Labor die Prothese mit den Geschiebe-Sekundärteilen hergestellt. Bevor die Prothese ganz fertiggestellt wird, ist in den meisten Fällen eine weitere Anprobe erforderlich.
  • Endsituation: In der Schlussbissposition fügt sich die Prothese harmonisch in das Restgebiss ein.
  • Die Verankerungselemente und die zu ersetzenden Zähne sind über eine Metallbasis stabil miteinander verbunden. Dank der filigranen Ausarbeitung der Basis spürt man diese nach einer kurzen Eingewöhnungszeit kaum noch.

Entscheidungskriterien

  • gute Ästhetik
  • sehr gute Passgenauigkeit
  • stabile Verankerung
  • einwandfreier Sitz
  • hohe Kaukraft
  • leichte Reinigung
  • höherer Aufwand in Praxis und Labor
  • Überkronung der Ankerzähne ist erforderlich
  • Verblockung der Pfeilerzähne erfordert eine gute Mundhygiene

Sie sind bereits angemeldet?

Dann loggen Sie sich hier bitte ein:

Neu hier?

Wählen Sie bitte ihr bevorzugtes Angebot aus und testen Sie es 30 Tage in aller Ruhe.
Zur Registration